У Львові врятували двомісячне немовля з пухлиною в мозку
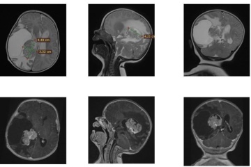
Нейрохірурги львівського Клінічного центру дитячої медицини врятували двомісячну дитину, видаливши їй пухлину в мозку.
31 грудня 2025
Нейрохірурги львівського Клінічного центру дитячої медицини врятували двомісячну дитину, видаливши їй пухлину в мозку.
30 грудня 2025
У Homin Center Львівського органного залу офіційно презентували унікальну для України програму музикотерапії для ветеранів.
У Львівському апеляційному суді у вівторок, 30 грудня, відбулося засідання у справі про смертельне поранення військового ТЦК. Суд залишив підозрюваного під вартою без права на заставу.
29 грудня 2025
Будівництво першої черги Меморіалу Героїв України на Личаківському цвинтарі у Львові планують завершити до кінця 2026. Після цього одразу перейдуть до планування другої.
28 грудня 2025
У Львові відбувся традиційний фестиваль «Спалах різдвяної звізди», у межах якого центром міста пройшла Хода звіздарів. Цьогорічний фестиваль є ювілейним - йому виповнюється 20 років.
У Львові відбувся благодійний "Забіг звіздарів", учасники якого зібрали 200 тисяч гривень на потреби Батальйону безпілотних систем «Кондор» бригади «Буревій».
У Львові 27 грудня відкрили простір “Асоціація підтримки ветеранського бізнесу”.
25 грудня 2025
У Львові показали унікальний вертеп за участю акторів Театру Незламних та ветеранів.
Всі художники, представники НСХУ, мають рівні права на все майно Національної спілки художників України. Спілка не має наміру комусь передавати або дарувати своє майно.
У Львові відбулась Скорботна коляда - подія, ініційована містом, щоб вшанувати пам’ять загиблих Захисників і Захисниць України.
У Львові у віці 77 років пішов з життя багаторічний ведучий Львівського обласного державного телебачення (ТРК "Львів") і програми "Концерт вітань" Петро Остапишин.
У Львові створили мистецький проєкт про свято, яке вистояло попри те, що влада намагалася витіснити його з публічного простору
24 грудня 2025
У переддень Різдва у Львові традиційно встановили головний символ свят - дідух. Цьогоріч у святковій ході взяли участь також ветерани, які проходять реабілітацію в центрі Unbroken.
У Львові 24 грудня вшанували пам’ять українського політика і громадського діяча Героя України В’ячеслава Чорновола з нагоди 88-ї річниці від дня його народження.
Прикордонники комендатури швидкого реагування «Шквал» 7-го Карпатського загону отримали 400 дронів FPV та DJI Mavic від львівських благодійників напередодні Різдва.
У Львівському обласному госпіталі завдяки сучасним методам лікування лікарі відновили пораненому військовому 12,5 см кістки.
23 грудня 2025
Експеримент зі створення університетської лікарні, який реалізують на базі Львівського національного медичного університету імені Данила Галицького, можуть масштабувати на інші медичні заклади вищої освіти України.
В Україні, де кожен другий ризикує потрапити в ситуацію торгівлі людьми, Представництво Міжнародної організації з міграції працює над підвищенням рішення обізнаності людей щодо ризиків торгівлі людьми та наданням комплексної допомоги постраждалими.
22 грудня 2025
Контррозвідка та слідчі Служби безпеки України завершили розслідування і направили до суду обвинувальний акт щодо агента ФСБ РФ, який у липні цього року готував теракт у Львові біля адмінбудівлі українських правоохоронців.
21 грудня 2025
У Львові, на площі Ринок, проходить останній у цьому році різдвяний ветеранський ярмарок.
20 грудня 2025
У Львові біля Парку культури відкрили відновлений мурал «Азовсталь». Відкриття пройшло у форматі тихої акції солідарності та підтримки полонених, безвісти зниклих військових та їх родин.
У Львівському палаці мистецтв в межах всеукраїнського проєкту «АРТ: Реконструкція-2025 | ART: Reconstruction–2025» 19 грудня відкрилася виставка, на якій представлені понад 150 робіт митців з усієї країни.
У Львові відбувся форум «Бізнес! Держава! Волонтери ОГС!», учасники якого обговорили напрацювання, проблеми та шляхи їх вирішення у сфері ветеранської політики.
19 грудня 2025
У Залізничному райсуді Львова 19 грудня ухвалили вирок лікарці-анестезіологині у резонансній справі про смерть 5-річного Велеса Пашника після видалення молочних зубів у стоматологічній клініці.
Міністерство у справах ветеранів у 2026 році зосередиться на детальному аудиті кожної територіальної громади щодо якості підтримки ветеранів та їхніх родин.
18 грудня 2025
Генплан забудови території села Сокільники біля міжнародного аеропорту «Львів» попередньо погоджений і відповідає всім вимогам. Подаючи судовий позов проти Сокільницької сільської ради, аеропорт діє в інтересах Львівської міської ради.
Львів вкотре просить генпрокурора втрутитися в ситуацію щодо забудови території біля аеропорту «Львів». Також у міській мерії вбачають у подіях довкола летовища російський вплив.
У Львові погасили поштову марку, присвячену воїнам 80‑ї Десантно-штурмової Галицької бригади.
16 грудня 2025
У Львові погасили унікальну поштову марку 67 окремої механізованої бригади ЗСУ «Залізом і Вогнем». Марка присвячена полеглим Героям України 67 ОМБр, а також військовослужбовцям бригади, які продовжують стояти на захисті Батьківщини.
15 грудня 2025
У Львові провели в останню путь народного артиста України Степана Гігу.