У Львові врятували двомісячне немовля з пухлиною в мозку

У Львові врятували двомісячне немовля з пухлиною в мозку

Фото
Укрінформ
Нейрохірурги львівського Клінічного центру дитячої медицини врятували двомісячну дитину, видаливши їй пухлину в мозку.

Про це у Фейсбуці повідомив Клінічний центр дитячої медицини. Західноукраїнський спеціалізований центр, передає Укрінформ. 

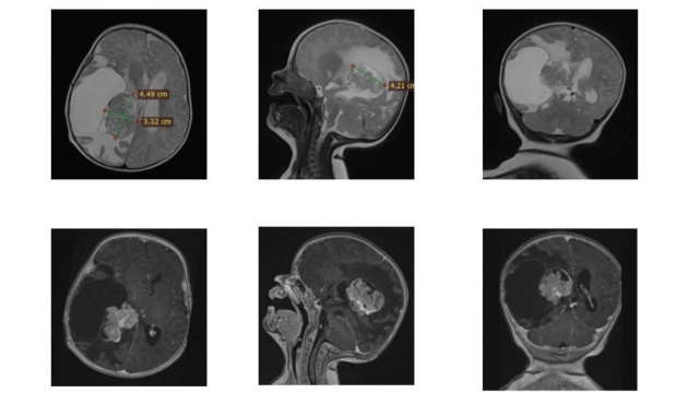
Зазначається, що у двомісячної дитини з Рівного утворилася небезпечна пухлина у правому боковому шлуночку мозку, яка загрожувала її життю. Єдиним шансом врятувати немовля було складне нейрохірургічне втручання.

«Видалення пухлини у такої малесенької пацієнтки саме по собі є надзвичайно ризикованим. Утворення розташовувалося в зоні судинного сплетення з високим кровопостачанням, а отже, з високим ризиком значної крововтрати. До того ж пухлина була близько до ділянки, відповідальної за рухи. Тому операція вимагала максимальної точності та ретельної підготовки», - зауважив керівник Клініки дитячої нейрохірургії Михайло Ловга.

Перед втручанням команда хірургів детально обговорила всі можливі ускладнення та алгоритми дій у критичних ситуаціях. Було підготовлено запас крові, спеціальні гемостатичні матеріали, попереджено суміжних фахівців, які могли знадобитися у разі масивної кровотечі.

Читайте також: Малюку з Франківська зробили надскладну операцію, яку визнали найкращою у світі

Саме втручання тривало довше, ніж зазвичай: лікарям доводилося поетапно зупинятися, контролюючи крововтрату, та надзвичайно обережно видаляти утвір, щоб не пошкодити рухові зони мозку. Попри це, операція пройшла успішно. Життя дитини поза загрозою.

Як повідомляв Укрінформ, львівські лікарі врятували немовля з нетиповою гідроцефалією.

Приєднуйтесь до наших каналів Telegram, Instagram та YouTube.

Розширений пошукПриховати розширений пошук
За період:
-