Перепрацювання змінює структуру мозку
Як повідомляє CNN, про це свідчать результати дослідження, проведеного науковцями із південнокорейських університетів Чунан та Йонсе, передає Укрінформ.
У дослідженні взяли участь 110 медичних працівників. Їх розділили на дві групи - тих, хто перепрацьовує, і тих, хто ні. До першої групи увійшли 32 особи, які працюють 52 години або більше щотижня (у Південній Кореї визначена на законодавчому рівні максимальна тривалість робочого тижня становить 52 години).
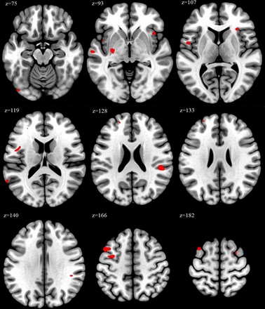
Науковці використали техніку нейровізуалізації для аналізу об’єму мозку досліджуваних медпрацівників. Це дало змогу визначити та порівняти відмінності в рівнях сірої речовини в різних ділянках мозку.
«У людей, які працювали 52 або більше годин на тиждень, спостерігалися значні зміни в ділянках мозку, пов’язаних із когнітивною функцією та емоційною регуляцією, на відміну від учасників, які працювали стандартні години», — заявили дослідники.

Ділянки мозку, де було зафіксовано збільшення об’єму, включають середню лобову звивину, що відіграє ключову роль у когнітивних функціях, увазі, пам’яті та мовних процесах, а також частку, яка залучена до емоційної обробки, самосвідомості та розуміння соціального контексту.
Дослідники вважають, що їхні висновки свідчать про «потенційний зв’язок» між збільшенням робочого навантаження та змінами в цих частинах мозку.
Проведене у 2021 році спільне дослідження Міжнародної організації праці і Всесвітньої організації охорони здоров’я засвідчило, що перепрацювання призводить до понад 745 тисяч смертей на рік. Також було встановлено, що понаднормова праця підвищує ризик діабету у жінок і сприяє зниженню когнітивних здібностей.
Як повідомляв Укрінформ, фінські дослідники створили клітини, які не здатні мутувати у ракові, що дасть змогу розробити нові безпечні методики клітинної терапії.
Фото: freepik